Ιστορικό & Κλινική Εικόνα:
Ασθενής (θήλυ), ηλικίας 2 ετών, προσήλθε στο τμήμα επειγόντων περιστατικών με αναφερόμενη συμπτωματολογία κεφαλαλγίας και εμέτων (πρωινής κυρίως εντόπισης) με διάρκεια δύο εβδομάδων. Κατά την κλινική εξέταση διαπιστώθηκαν σημεία αυξημένης ενδοκράνιας πίεσης.
Διαγνωστικός Έλεγχος:
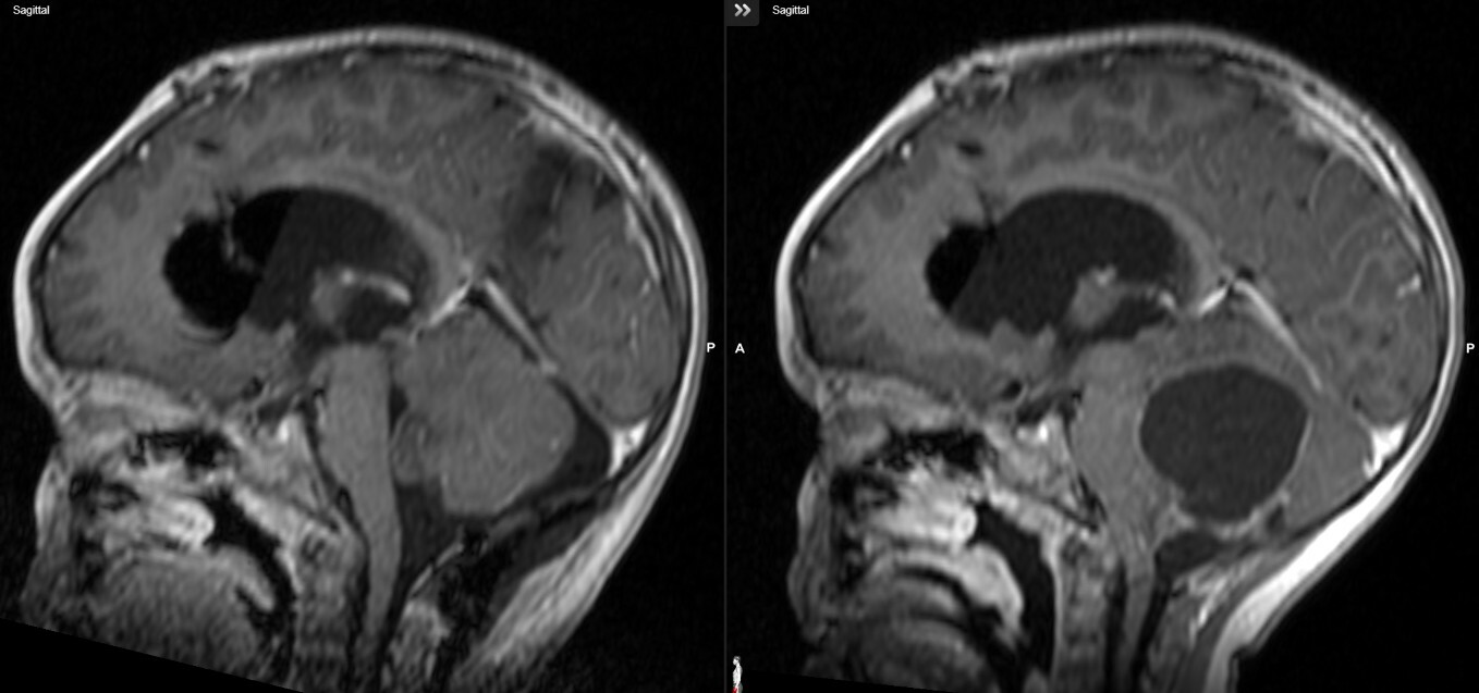
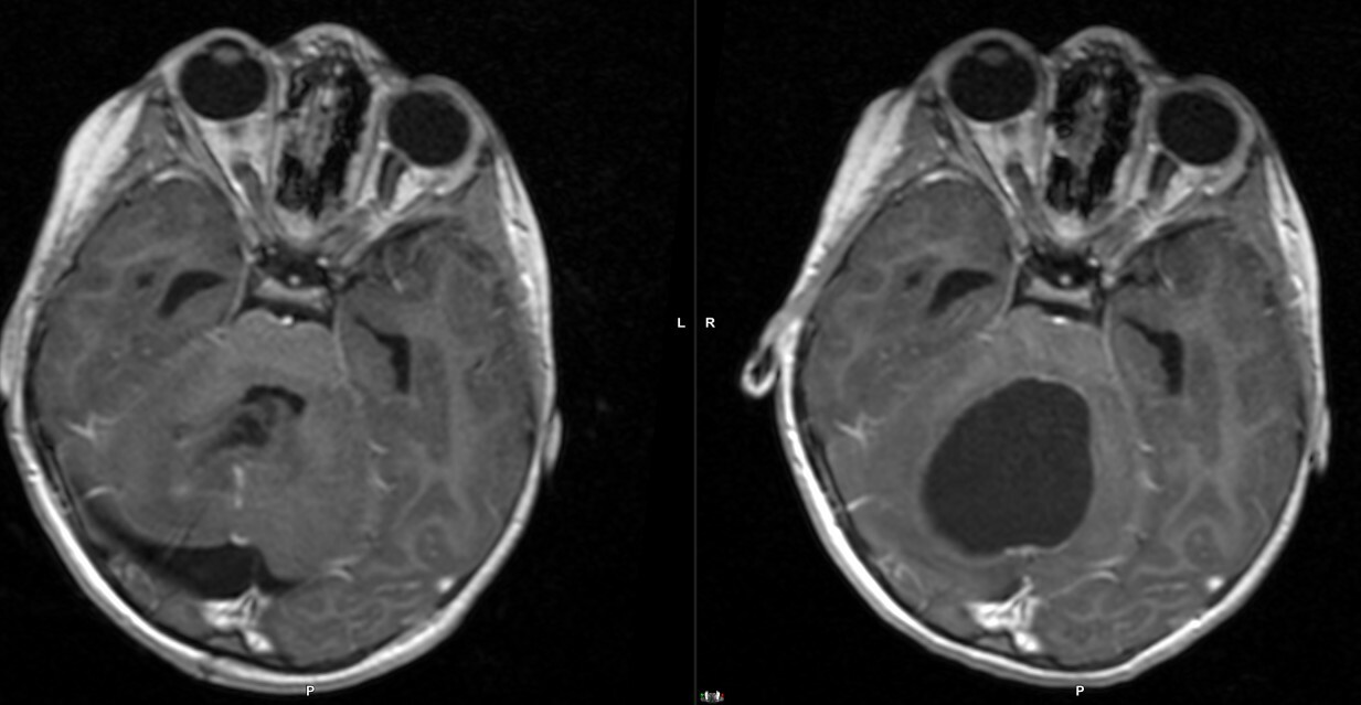
Η ασθενής υποβλήθηκε σε MRI εγκεφάλου, η οποία αποκάλυψε:
- Χωροκατακτητική εξεργασία στον οπίσθιο κρανιακό βόθρο.
- Σοβαρά πιεστικά φαινόμενα στην παρεγκεφαλίδα και το στέλεχος.
- Δευτεροπαθή αποφρακτικό υδροκέφαλο.
- Επείγουσα Επεμβατική Φάση: Πραγματοποιήθηκε ενδοσκοπική τρίτη κοιλιοστομία (ETV) για την άμεση αποσυμφόρηση του υδροκεφάλου και τη ρύθμιση της ενδοκράνιας πίεσης.
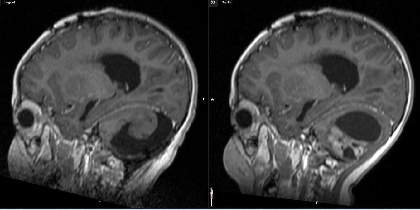
- Οριστική Αντιμετώπιση: Δύο ημέρες αργότερα, η ασθενής υποβλήθηκε σε υπαυχενιακή κρανιοτομία. Επιτεύχθη μακροσκοπικά πλήρης εξαίρεση (GTR - Gross Total Resection) της βλάβης.
Η μετεγχειρητική MRI επιβεβαίωσε την πλήρη αφαίρεση του όγκου χωρίς υπολειμματική νόσο. Η ιστοπαθολογική εξέταση ανέδειξε πυλοκυτταρικό αστροκύττωμα (WHO Grade 1). Η πρόγνωση της ασθενούς κρίνεται εξαιρετική, με την πλήρη ίαση να είναι ο αναμενόμενος στόχος.
Στατιστικά & Επιδημιολογικά Στοιχεία
Πυλοκυτταρικό Αστροκύττωμα (PA)
Το πυλοκυτταρικό αστροκύττωμα αποτελεί τον πιο συχνό πρωτοπαθή όγκο του Κεντρικού Νευρικού Συστήματος (ΚΝΣ) στα παιδιά.
Βασικά Σημεία:
- Χειρουργική Εξαίρεση: Είναι ο ακρογωνιαίος λίθος της θεραπείας. Αν επιτευχθεί πλήρης αφαίρεση, η συμπληρωματική θεραπεία (ακτινοβολία/χημειοθεραπεία) συνήθως δεν απαιτείται.
- Συσχέτιση με Σύνδρομα: Περίπου το 15-20% των ασθενών με Νευροινωμάτωση τύπου 1 (NF1) ενδέχεται να αναπτύξουν πυλοκυτταρικό αστροκύττωμα (κυρίως στο οπτικό νεύρο).
- Υποτροπή: Ο κίνδυνος υποτροπής είναι εξαιρετικά χαμηλός σε περιπτώσεις πλήρους εξαίρεσης, καθιστώντας την τακτική παρακολούθηση με MRI το χρυσό κανόνα (gold standard) για τα επόμενα έτη.




